Com mais de 20 anos de atuação, a CDT Software desenvolve soluções tecnológicas para atender as principais demandas dos profissionais da radiologia odontológica. Com nossos produtos, proporcionamos aos nossos clientes e parceiros, entre outros benefícios, os seguintes diferenciais:
Com modernas soluções tecnológicas, como a inteligência artificial, o ServerOdonto, é um software que te lhe dará uma visão completa da gestão do seu centro radiológico. Além disso, o ServerOdonto é composto por ferramentas e indicadores exclusivos e que atendem as principais demandas da área. Ou seja, informações precisas e resultados garantidos.
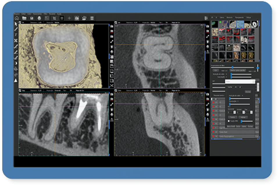
O e-Vol DX, reconhecido por pesquisas acadêmicas nacionais e internacionais, possibilita imagens com o máximo de nitidez e detalhes. Um dos principais diferenciais do e-Vol DX, além de contar com filtros e recursos exclusivos, é atender as principais demandas do radiologista odontológico.
Conheça alguns dos nossos filtros:
Selecione abaixo o setor que desejado.
Horário de atendimento da equipe CDT: Seg. a Sex. das 8h às 12h e das 13h às 18h

