A tomografia computadorizada por feixe cônico (TCFC) tornou-se uma das ferramentas mais importantes no espectro de imagens diagnósticas em odontologia. TCFC é agora o exame de excelência em várias especialidades como implantodontia, endodontia, ortodontia, cirurgia, assim como em diagnóstico de patologias, entre outros. Há um mercado crescente devido ao aumento do número de profissionais de odontologia que adotam imagens tomográficas como base antes dos procedimentos dentários. Hoje é comum escutar de colegas que usam as tomografias de feixe cônico a seguinte frase: "Eu posso ver e diagnosticar muito mais com tomografia."
Existem várias publicações que fornecem diretrizes clinicas baseadas em evidências sobre as aplicações desta modalidade de imagem em odontologia. Pequenos e médios volumes do complexo oral e maxilo-facial adquiridos em alta resolução fornecem capacidade diagnósticas superiores em comparação com a imagem 2D convencional em várias situações clínicas. Estes incluem a exibição de estruturas anatômicas-chave e sua relação com a dentição, visualização da morfologia dentária sem sobreposição, avaliação do dente e degenerescência óssea, planejamento cirúrgico e avaliação do resultado de terapias. É por isso que eu uso o software Evol da CDT. Ele me ajuda a maximizar o diagnóstico de imagem devido a uma variedade de ferramentas que permite a fácil manipulação e melhoramento de imagens de varreduras TCFC. A TCFC sem dúvida nos proporcionou um grande poder em imagens diagnósticas. Com este poder vem uma grande responsabilidade de interpretar os volumes 3D corretamente e na íntegra.
Não há controvérsia na prática odontológica sobre a responsabilidade de dentistas na interpretação de todos os resultados radiográficos em 2D de radiografias da prática odontológica. No entanto, para um radiologista que adquire uma varredura TCFC, alguns têm questionado quem é responsável pela interpretação e responsabilidades legais em relação dos achados incidentais fora da intenção do exame. A resposta é simples. Assim como para a imagem 2D, um clínico que adquire ou interage com o volume TCFC (mesmo que adquirido em um centro de imagens) é responsável pela interpretação do volume adquirido ou fornecido. Alguns colegas estão com a percepção errônea de que eles são apenas responsáveis pela interpretação intencional do volume. A responsabilidade pela interpretação de exames radiológicos não é dependente da tecnologia. Os clínicos são responsáveis por todas as informações dentro da radiografia 2D e/ou volume TCFC, independentemente da intenção do exame. A radiologia oral e maxilo-facial é uma especialidade reconhecida em odontologia. Como as imagens de TCFC tornaram-se mais popular, aprender a interagir com os dados para reconhecer os achados INCIDENTAIS, ou seja, os achados não relacionados com a intenção original da aquisição do exame, torna-se imperativo. Os achados incidentais são mais identificáveis em imagens 3D do que em radiografias 2D.



A responsabilidade de identificar resultados incidentais em volumes TCFC não deve ser baseada no medo de responsabilidade e negligência. É no melhor interesse do paciente, bem como o provedor de reconhecer os achados incidentais como muitos têm o potencial para mudar um plano de tratamento. Desenvolver um método sistemático e reproduzível para analisar volumes pode melhorar a produtividade e melhorar o tempo de interpretação diagnóstica. O software Evol tem muitas ferramentas para maximizar a interpretação e minimizar o tempo de interpretação TCFC. Depois de uma imagem é adquirida o software Evol é a minha escolha para ajuste e navegação nos dados. É imperativo que os radiologistas relatem todas as suas descobertas de interpretação (primária e incidental) no relatório do paciente. Esta é apenas a primeira etapa da interpretação radiológica, que é reconhecer normal versus variação anatômica e patologia. Em segundo lugar, o diagnóstico diferencial para tais achados incidentais.
É importante lembrar que o acesso a esta tecnologia de imagem não se traduz em proficiência clínica. Muitos autores têm demonstrado que inúmeros resultados incidentais ocorrem fora da área de interesse e salientam a importância de aprender a rever sistematicamente uma varredura TCFC. Um estudo recente que compara a detecção de descobertas incidentais em varreduras TCFC adquiridas para fins endodônticos e demonstrou que os radiologistas orais e maxilo-faciais podem observar 50 por cento mais resultados incidentais do que clínicos. Independentemente do tomógrafo que você usa, "seus olhos só podem ver o que seu cérebro sabe."
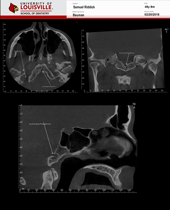
Resultados incidentais usando o software Evol:
Este é um paciente masculino de 48 anos de idade e foi encaminhado para a clínica de Radiologia oral e maxilo-facial na Universidade de Louisville para uma aquisição de tomografia de feixe cônico da face para planejamento de implante.
Uma tomografia da maxila foi adquirida para avaliação do dente 21 e dos dois seios maxilares. Durante a interpretação do exame foi notado uma área ovalada, multilocular grande, bem definida, corticalizada na região retroclival prepontine. Este achado é fortemente consistente com Ecchordosis Physaliphora. Ecchordosis physaliphora é uma lesão hamartomatosa benigna congênita e pode ser encontrada em qualquer lugar da base do crânio ao osso sacrum. Também notei um forame jugular assimétrico no lado direito. Note que as margens são corticalizadas e não há sinais ou erosão / padrão mordida de traça. O aumento do forame jugular tornando-o assimétrico é fortemente consistente com Bulbo Jugular Alto. Esta variante anatômica ocorre mais comumente do lado direito. Há uma grande e fina espora óssea decorrente da parede lateral esquerda do septo nasal estendendo todo o caminho até a parede lateral esquerda da cavidade nasal.